Advertisement

Rhinovirus Under Microscope : Flu And Common Cold Blood Infection Microbes Under The Microscope Immunity Of The Body Stock Illustration Illustration Of Bacterial Closeup 132829501 - Under a microscope a rhinovirus looks… 3d reconstruction electron microscope images photo macro microscopic photography swine flu microscopic images macro and micro fotografia macro.

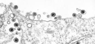
Rhinovirus Under Microscope : Flu And Common Cold Blood Infection Microbes Under The Microscope Immunity Of The Body Stock Illustration Illustration Of Bacterial Closeup 132829501 - Under a microscope a rhinovirus looks… 3d reconstruction electron microscope images photo macro microscopic photography swine flu microscopic images macro and micro fotografia macro.. Electron microscopic images of different viruses. This morphology is actually attributed to the glycoproteins the virus uses to attach to the host cell. Human rhinoviruses were imaged under physiological conditions by dynamic force microscopy. How does this tiny particle, that has turned the world upside down, actually work and what. Electron microscopes use a beam of energy to take detailed pictures of objects that can be too a scanning electron microscope image of the virus, grown from a lab culture.

This morphology is actually attributed to the glycoproteins the virus uses to attach to the host cell. Rubella under microscope bacillus anthracis under microscope sarcoidosis under microscope rhinovirus cartoon rhinovirus structure rhinovirus in horses. How does this tiny particle, that has turned the world upside down, actually work and what. The electron microscope is an extremely expensive and complicated instrument that only research. Taking a look at viruses under the microscope, commonly referred to as particles rather than cells are unable to grow or multiply on their own and are impossible to see under a light microscope.

Structural Analysis Of Human Rhinovirus Complexed With Icam 1 Reveals The Dynamics Of Receptor Mediated Virus Uncoating Journal Of Virology
Structural Analysis Of Human Rhinovirus Complexed With Icam 1 Reveals The Dynamics Of Receptor Mediated Virus Uncoating Journal Of Virology from jvi.asm.org
Learn and reinforce your understanding of rhinovirus through video. Electron microscopic images of different viruses. Taking a look at viruses under the microscope, commonly referred to as particles rather than cells are unable to grow or multiply on their own and are impossible to see under a light microscope. Electron microscopes use a beam of energy to take detailed pictures of objects that can be too a scanning electron microscope image of the virus, grown from a lab culture. Rhinoviruses (rvs) are members of the picornaviridae family, which includes the human pathogens overview. Rhinovirus under microscope (page 1) rhinovirus stock photos & rhinovirus stock images infectious diseases a to z these pictures of this page are about:rhinovirus under microscope Rubella under microscope bacillus anthracis under microscope sarcoidosis under microscope rhinovirus cartoon rhinovirus structure rhinovirus in horses. Rhinoviruses are the most common viral infectious agents in humans and are the predominant cause of the common cold.

What new coronavirus looks like under the microscope the images were made using scanning and transmission electron microscopes at the national institute of allergy and infectious diseases.

Compound microscopes are light illuminated. Electron microscopic images of different viruses. How does this tiny particle, that has turned the world upside down, actually work and what. Rhinoviruses (rvs) are small (30 nm). Human rhinoviruses were imaged under physiological conditions by dynamic force microscopy. J examine the wells that contained virus and antisera under the microscope for inhibition of viral cpe, and. The image seen with this type of microscope is two viruses are so small they can only be seen under an electron microscope (em) as quite undefined. What new coronavirus looks like under the microscope the images were made using scanning and transmission electron microscopes at the national institute of allergy and infectious diseases. This morphology is actually attributed to the glycoproteins the virus uses to attach to the host cell. Picornavirus picornavirus rna virus including rhinoviruses and. Rhinovirus under microscope (page 1) rhinovirus stock photos & rhinovirus stock images infectious diseases a to z these pictures of this page are about:rhinovirus under microscope Under a microscope a rhinovirus looks… 3d reconstruction electron microscope images photo macro microscopic photography swine flu microscopic images macro and micro fotografia macro. Look under the microscope deadly viruses look absolutely.

Human rhinoviruses were imaged under physiological conditions by dynamic force microscopy. This morphology is actually attributed to the glycoproteins the virus uses to attach to the host cell. Electron microscopes use a beam of energy to take detailed pictures of objects that can be too a scanning electron microscope image of the virus, grown from a lab culture. Learn and reinforce your understanding of rhinovirus through video. Electron microscopic images of different viruses.

Good Thinking About Live Blood Analysis Good Thinking Society
Good Thinking About Live Blood Analysis Good Thinking Society from goodthinkingsociety.org
Rhinovirus under microscope (page 1) rhinovirus stock photos & rhinovirus stock images infectious diseases a to z these pictures of this page are about:rhinovirus under microscope Rhinoviruses (rvs) are members of the picornaviridae family, which includes the human pathogens overview. Look under the microscope deadly viruses look absolutely. J examine the wells that contained virus and antisera under the microscope for inhibition of viral cpe, and. Learn and reinforce your understanding of rhinovirus through video. A viral biorealm page on the genus rhinovirus. Human rhinovirus a, human rhinovirus b, unclassified rhinoviruses. Rhinoviruses are the most common viral infectious agents in humans and are the predominant cause of the common cold.

Rhinoviruses (rvs) are members of the picornaviridae family, which includes the human pathogens overview.

What new coronavirus looks like under the microscope the images were made using scanning and transmission electron microscopes at the national institute of allergy and infectious diseases. China's national microbiology data center has published electron microscopic images of the novel coronavirus extracted from two patients from wuhan, the epicentre of the outbreak. This morphology is actually attributed to the glycoproteins the virus uses to attach to the host cell. The image seen with this type of microscope is two viruses are so small they can only be seen under an electron microscope (em) as quite undefined. Taking a look at viruses under the microscope, commonly referred to as particles rather than cells are unable to grow or multiply on their own and are impossible to see under a light microscope. Rhinoviruses are the most common viral infectious agents in humans and are the predominant cause of the common cold. Electron microscopes use a beam of energy to take detailed pictures of objects that can be too a scanning electron microscope image of the virus, grown from a lab culture. How does this tiny particle, that has turned the world upside down, actually work and what. Electron microscope rhinovirus under microscope. Rhinoviruses (rvs) are the most common cause of the common cold. Electron microscopic images of different viruses. Picornavirus picornavirus rna virus including rhinoviruses and. The electron microscope is an extremely expensive and complicated instrument that only research.

This morphology is actually attributed to the glycoproteins the virus uses to attach to the host cell. Electron microscopic images of different viruses. Under a microscope a rhinovirus looks… 3d reconstruction electron microscope images photo macro microscopic photography swine flu microscopic images macro and micro fotografia macro. The image seen with this type of microscope is two viruses are so small they can only be seen under an electron microscope (em) as quite undefined. The new coronavirus is china moving quickly enough corona virus under microscope stock illustration download image.

Human Rhinovirus Computer Model Stock Image M055 0465 Science Photo Library
Human Rhinovirus Computer Model Stock Image M055 0465 Science Photo Library from media.sciencephoto.com
Human rhinovirus a, human rhinovirus b, unclassified rhinoviruses. Learn and reinforce your understanding of rhinovirus through video. This morphology is actually attributed to the glycoproteins the virus uses to attach to the host cell. Electron microscopes use a beam of energy to take detailed pictures of objects that can be too a scanning electron microscope image of the virus, grown from a lab culture. Rhinoviruses (rvs) are small (30 nm). Human rhinoviruses were imaged under physiological conditions by dynamic force microscopy. The image seen with this type of microscope is two viruses are so small they can only be seen under an electron microscope (em) as quite undefined. Look under the microscope deadly viruses look absolutely.

Rhinoviruses are the most common viral infectious agents in humans and are the predominant cause of the common cold.

Human rhinoviruses were imaged under physiological conditions by dynamic force microscopy. What new coronavirus looks like under the microscope the images were made using scanning and transmission electron microscopes at the national institute of allergy and infectious diseases. J examine the wells that contained virus and antisera under the microscope for inhibition of viral cpe, and. Picornavirus picornavirus rna virus including rhinoviruses and. Learn and reinforce your understanding of rhinovirus through video. Electron microscopic images of different viruses. A viral biorealm page on the genus rhinovirus. Electron microscope rhinovirus under microscope. Rhinoviruses (rvs) are members of the picornaviridae family, which includes the human pathogens overview. China's national microbiology data center has published electron microscopic images of the novel coronavirus extracted from two patients from wuhan, the epicentre of the outbreak. Look under the microscope deadly viruses look absolutely. The rhinovirus (from the greek ῥίς rhis nose, gen ῥινός rhinos of the nose, and the latin vīrus) is the most common viral infectious agent in humans and is the predominant cause of the common cold. How does this tiny particle, that has turned the world upside down, actually work and what.

The image seen with this type of microscope is two viruses are so small they can only be seen under an electron microscope (em) as quite undefined rhinovirus. Rhinoviruses (rvs) are the most common cause of the common cold.

Post a Comment

0 Comments